<男性の眉に関する意識調査>全世代の男性が“眉の整え方”に悩み

40代以降は白髪も新たな悩み/20代は眉毛サロンにも注目
毛髪・美容・健康・医療のウェルネス事業をグローバル展開する株式会社アデランス(本社:東京都品川区、代表取締役社長 鈴木 洋昌)では、全国の20歳~59歳の男性412名を対象に、「男性の眉に関する意識調査」をインターネット調査で実施しました。
当社では、創業50周年を機に美容事業にも領域を広げており、2020年に眉毛専門店「ビューステージ アイブロウサロン」の一号店をオープンしました。オープン以降、身だしなみの一環としてなど男性のご利用も年々増え続けており、全国のお客様のうち約21%※1が男性のお客様となっています。また、当社アイブロウサロンには10代~60代まで幅広い世代の男性があらゆる眉悩みを抱えてお越しになることから、今回は“男性の眉”をテーマに世の中の男性の“眉意識”やお悩みについて調査しました。
※1 2024年12月10日時点、2024年3月1日~12月10日までの集計
主な調査結果トピックス
◆7割以上が「眉は顔の印象を決める」重要なパーツであると認識
◆眉の手入れ経験者の半数以上が「形」に失敗
◆全世代でトップの眉の悩み「整え方が分からない」
40代以降は眉毛の白髪も新たな悩みに
◆整った眉は身だしなみの一部?
約8割が眉によって好印象を持たれたいことが明らかに
◆悩み解消法として半数以上が「毛量を調整する」と回答
20代は「眉毛サロン」にも注目
<調査概要>
○調査名:男性の眉に関する意識調査
○調査対象:20歳~59歳の男性412名(有効回答数)
○調査期間:2024年11月15日(金)~17日(日) 3日間
○調査方法:インターネットアンケート
○調査委託先:株式会社マクロミル
※本調査結果では、小数点以下第2位を四捨五入しているため、合計しても100%にならない場合があります
◆7割以上が「眉は顔の印象を決める」重要なパーツであると認識
眉は顔の印象を左右するパーツであるか尋ねたところ、全体の7割以上の方が印象を左右すると思うと回答しました。世代別で見ると、20代から40代では8割近く、50代でも7割近くの方が回答していることから、全世代で眉が顔の重要なパーツであると認識しているようです。

◆眉の手入れ経験者の半数以上が「形」に失敗
眉の手入れの経験がある方に、自身で眉を手入れしたときの失敗を尋ねたところ、「形が悪くなってしまった」(54.7%)が最も多い回答となりました。前問では眉は顔の印象を左右するパーツであるという認識が高いことが分かりましたが、形への関心も高いことが分かります。
次いで、「細くなりすぎてしまった」(29.2%)、「薄くなってしまった」(20.6%)、「短くなってしまった」(20.2%)が続き、細かさや慎重さが必要とされる眉の手入れを難しいと感じている方が多い様子がうかがえます。

◆全世代でトップの眉の悩み「整え方が分からない」
40代以降は眉毛の白髪も新たな悩みに
現在の眉の悩みを尋ねたところ、半数以上の方が「悩みがある」と回答しており、自身の眉に満足していないことが分かります。具体的な悩みでは、「整え方が分からない」(41.8%)が最も多い回答となり、手入れに関する情報の不足や手入れの難しさ、過去の失敗経験などが影響しているのかもしれません。次いで、「太い」(34.5%)、「濃い」(29.3%)、「似合う形が分からない」(25.4%)が続きました。
世代別に見ると、40代からは「白髪が出てきた」が上位にランクインし、50代では眉毛の白髪が最も多い悩みとなりました。



◆整った眉は身だしなみの一部?
約8割が眉によって好印象を持たれたいことが明らかに
どのような印象を持たれる眉になりたいか尋ねたところ、「清潔」(41.0%)が最も多い回答となり、“清潔さが感じられる眉”が身だしなみの一部として重要視されていることが分かります。また、次いで「かっこいい」(37.1%)が続きました。
「特にない」と回答した方は、2割程度であったことから、全体の約8割の方が、眉によって何かしらの好印象を持たれたいと感じている様子がうかがえます。

◆悩み解消法として半数以上が「毛量を調整する」と回答
20代は「眉毛サロン」にも注目
眉の悩みを解消する手段を尋ねたところ、半数以上が「毛量を調整する」と回答しました。眉が濃い場合は薄く、薄い場合はボリュームを出すなど、毛量を調整することで理想の眉に近づくと考えていることが分かります。
年代別に見ると、20代の約3人に1人が眉の悩みを解消する手段として「眉毛サロンに通う」と回答しており、昨今の男性の美容意識の高まりから、若年層の男性には眉毛サロンも一般的になってきているのかもしれません。


<ご参考>
当社では、創業50周年を機に美容事業にも領域を広げており、2020年に眉毛専門店「ビューステージ アイブロウサロン」の一号店をオープンしました。2024年11月末現在、61店舗まで広がり、これまでに全国で約12万6千人※2のご新規のお客様にご来店いただいております。
眉はお顔の印象を大きく左右するパーツであることから、サロンでのケアを習慣化されるお客様も多く、当社の全国のサロンでは、新規でご来店いただいたお客様のうち、77.4%※3の方にリピーターとして再来店いただいています。
※2 2024年12月10日時点 ※3 2024年11月30日時点


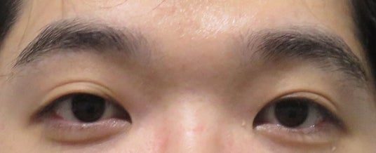
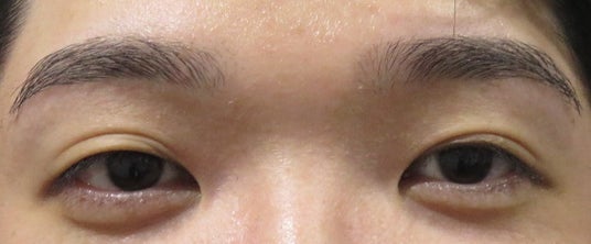
施術前

施術後
■「ビューステージ アイブロウサロン」の施術内容
「ビューステージ アイブロウサロン」では、スタッフによるカウンセリング後、お客様のお悩みに寄り添いながら、トレンドやお顔の骨格・表情などに合わせて自然な美しい眉をご提案します。デザインにご納得いただいた後は、メイクのアドバイスをしながら、「ビューステージ」のコスメを用いて仕上げます。
眉のコンプレックスやメイク方法など、プライバシーなお悩みも周囲の視線を気にせずにご相談いただけるプライベートな個室※4空間と、丁寧なカウンセリングが特長です。施術時は、広めのリクライニングチェアでくつろぎながらお過ごしいただけます。
※4 一部店舗を除く



■施術にはオリジナルのサロンコスメ「ビューステージ コスメシリーズ」を使用
「ビューステージ アイブロウサロン」では、ビューステージブランドにて2022年9月から順次発売したコスメシリーズを用いて、アイブロウィストによるメイクのお仕上げ、アドバイスなども行っております。商品はサロンでもご購入が可能で、薬用眉毛育毛剤『ビューステージ アイブロウエッセンス メディケート』(医薬部外品)やアイブロウパウダー、アイラッシュエッセンス、アイブロウマスカラなど計6種類を取り揃えています。



ご予約やメニュー、店舗の一覧などは「ビューステージ」公式ホームページまたは公式アプリをご覧ください。
・ビューステージ アイブロウサロン https://www.beaustage.com/shop-eyebrow
・公式アプリ https://b-merit.jp/sp/app/?shop=beaustage
企業プレスリリース詳細へ
PR TIMESトップへ
この記事のCategory
求人情報
Amazon倉庫での商品の運搬スタッフ/日勤
株式会社東陽ワーク
勤務地:愛知県雇用形態:派遣社員給与:時給1,350円~1,688円スポンサー:求人ボックス
システム営業
株式会社アシスト・ワン
勤務地:東京都雇用形態:正社員給与:月給30万円~45万円スポンサー:求人ボックス
経験者歓迎/お店の業務を支えるシステムを作るバックエンドエンジニア
マインドアイル株式会社
勤務地:東京都雇用形態:正社員給与:年収360万円~700万円スポンサー:求人ボックス
年収1000万円以上可能!ナイトレジャーに特化した企画営業/ikAsei
IMC池袋
勤務地:東京都雇用形態:正社員給与:月給28万円~80万円スポンサー:求人ボックス
総務事務/未経験歓迎!年間休日123日!残業ほとんどなし!駅チカ
特定非営利活動法人音楽で日本の笑顔を
勤務地:東京都雇用形態:正社員給与:月給21万9,000円~スポンサー:求人ボックス
Barのスタッフ
bar piiinuts
勤務地:大阪府雇用形態:アルバイト・パート給与:時給1,200円~1,500円スポンサー:求人ボックス
